Nightguards and Mouthguards
Nightguards
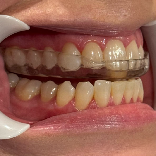
Night time grinding can be caused by stress and other factors and can lead to serious problems with your teeth and jaws. A splint may be the solution to the issue.
A custom molded hard plastic appliance that fits over the upper teeth. It is designed to protect natural teeth, crowns and implants from wear and cracking from clenching and grinding habits [Bruxism] and relieve muscle tension and painful joint symptoms.
Bruxism is an excessive clenching or grinding of the teeth that is not a part of normal chewing movements. It can lead to excessive wear on the teeth and may cause permanent damage to the teeth and the jaw joints
to establish a perfectly even bite and prevent individual tooth wear and also reduce destructive forces on the jaw joint, ligaments and cartilage.
We have a range of solutions:
- Soft nightguard/splint
- Hard nightguard/splint Acrylic
- Hard nightguard/splint Nylon
- Armadillo soft/hard nightguard/splint
What happens if you don’t use a splint when indicated?
The enamel surfaces of teeth rapidly wear down, exposing the soft internal part of the tooth which wears quickly. If left to wear down as in the bottom photo, then bacteria can penetrate through to the nerve and a Root Canal may be required.
Adjustments
Adjustments to your splint are always necessary and the number will depend on the nature, complexity and severity of your clenching and grinding habits and joint-muscle problem. The adjustments are an integral part of the treatment, as each adjustment allows further resolution of the joint-muscle problem
Mouthguards
Mouthguards play a critical role in mitigating sports-related injuries to the oral and maxillofacial region by absorbing and distributing impact forces, thereby lessening the force transmitted to dental hard tissues, mandibular condyles, and articular disks.
We have a selection of mouthguards:
Sports-related accidents are a significant health issue, substantially impacting daily life. Nearly one-third of orofacial and dental injuries result from sports safety accidents, leading to considerable financial burdens for treatment. A previous study reported that orofacial and dental injuries affect nearly a billion people and incur annual treatment costs exceeding 5 million dollars. Additionally, as many as 52% of children aged 11–13 have experienced oral injuries due to sports, and more than 70% of athletes have sustained orofacial and dental injuries. Sports-induced orofacial and dental injuries include pulpal necrosis, intradental resorption, crown fractures, soft tissue injuries, subluxations, and maxillary fractures. These injuries can disrupt an athlete’s participation and training schedules, incur high treatment costs, and result in enduring cosmetic issues. Wang K, Liu Y, Zhao Z, Zhou S, Zhang M. Mouthguard types, properties and influence on performance in sport activities: a narrative review. Front Med (Lausanne). 2025 Jan 28;12:1527621. doi: 10.3389/fmed.2025.1527621. PMID: 39935802; PMCID: PMC11810891.
- Standard Sports mouthguard (double layer)
- Professional Sports mouthguard (triple layer)
Sports-related accidents are a significant health issue, substantially impacting daily life. Nearly one-third of orofacial and dental injuries result from sports safety accidents, leading to considerable financial burdens for treatment. A previous study reported that orofacial and dental injuries affect nearly a billion people and incur annual treatment costs exceeding 5 million dollars. Additionally, as many as 52% of children aged 11–13 have experienced oral injuries due to sports, and more than 70% of athletes have sustained orofacial and dental injuries. Sports-induced orofacial and dental injuries include pulpal necrosis, intradental resorption, crown fractures, soft tissue injuries, subluxations, and maxillary fractures. These injuries can disrupt an athlete’s participation and training schedules, incur high treatment costs, and result in enduring cosmetic issues. Wang K, Liu Y, Zhao Z, Zhou S, Zhang M. Mouthguard types, properties and influence on performance in sport activities: a narrative review. Front Med (Lausanne). 2025 Jan 28;12:1527621. doi: 10.3389/fmed.2025.1527621. PMID: 39935802; PMCID: PMC11810891.














