Orthodontic Retention
At EOCA Lab, we offer a diverse range of orthodontic retention solutions tailored for both maxillary and mandibular arches. The options are as follows:
-
- Fixed Retainers: Designed for long-term stability, typically bonded to the lingual surfaces of anterior teeth.
- Removable Retainers: Custom-fabricated for patient comfort and compliance. Includes options for both maxillary and mandibular arches.
- Combination Retention Systems: Hybrid designs that integrate fixed and removable components for enhanced retention and flexibility.
- Specialty Appliances: Includes TMD-retainer combo splints and occlusal splints, offering dual-functionality for retention and therapeutic use.
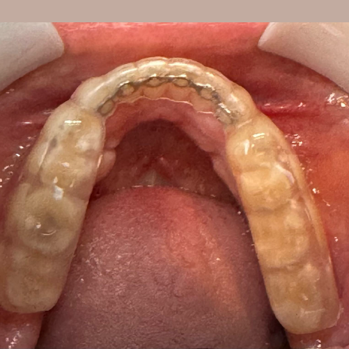
Our Orthodontic Retention Solutions
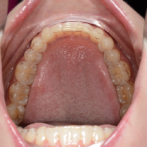
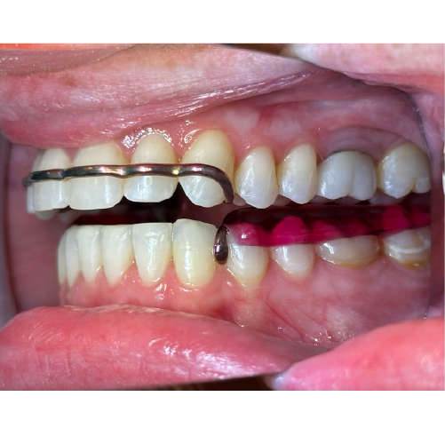
Infinity Fixed Lingual Retainer
Our patented Infinity Fixed Lingual Retainer is a new generation, laser-sintered bar designed to be seated and cemented in minutes.



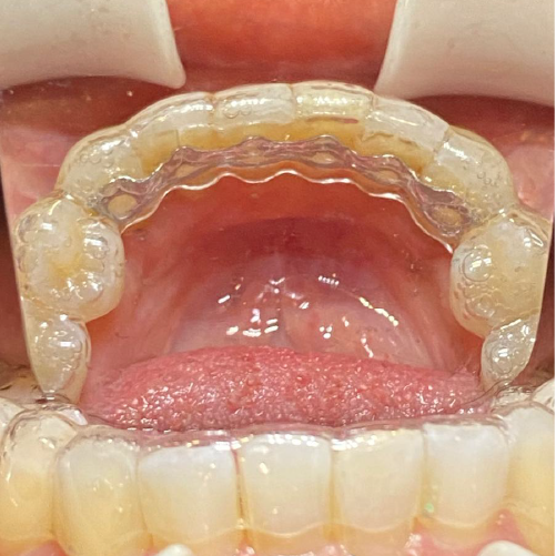
Atlas Removable Retainer
Our Atlas removable retainer delivers optimal relapse mitigation, featuring a diminutive design well tolerated by all patients.




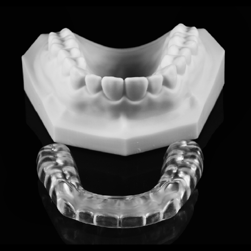
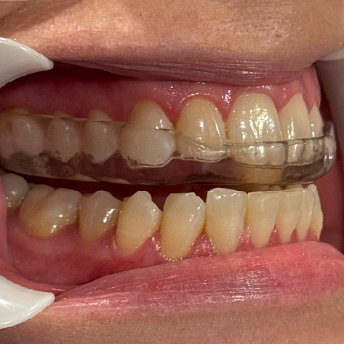
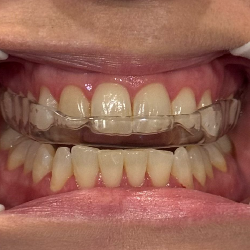
Hercules Clear Retainers
Our Hercules clear removable retainer significantly reduces the chances of orthodontic relapse.


Hawley Removable Retainers
Our Hawley retainers are commonly used to maintain teeth position, particularly after braces have been removed.










Retainers for TMD patients
Lorem ipsum dolor sit amet, consectetur adipiscing elit. Ut elit tellus, luctus nec.












Combinations of Retainers
We can provide efficacious combinations to be utilised for retention and relapse mitigation.




